September 10, 2020Bericht über die Forschung am IOB im 10 vor 10Das News Magazin des Schweizer Fernsehen SRF 1 berichtete im Format der Spätabendsendung über die Forschung von Botond Roska
September 08, 2020Interview im Radio SRF1 - "Echo der Zeit"Botond Roska sprach mit Wissenschaftsredaktorin Irène Dietschi im Radio SRF1 über den aktuellen Stand der Bemühungen, Blinden wieder eine gewisse Sehfähigkeit zurück zu geben.
September 07, 2020Körber European Science Prize for Botond RoskaFind a brochure about the awardee & project, a movie and a podcast. Die Broschüre, den Film und einen Podcast über den Preisträger gibt es auch in Deutsch!
September 06, 2020Der Arzt, der Raum und Zeit ausser Kraft setztInterviews der 'Weltwoche' und des 'St Galler Tagblatts' mit Peter Maloca über neue Technologien der Augenheilkunde, wie sie auch Riesen der internationalen Gaming-Industrie nutzen
August 28, 2020Swiss OphthAward 2020 for Dasha Nelidova @IOBCongratulations for the „Best Experimental Work“ 2020!
August 19, 2020, 18:15hOphthalmic genetics: keep your eyes on the computer screen Please join Carlo Rivolta's public inaugural lecture as professor at the University of Basel - live at the Naturhistorisches Museum Basel, or on YouTube
August 14, 2020Joint Development of Gene Editing ProgramsTogether with Beam Therapeutics, in a program led by Bence György and Botond Roska at IOB, we will develop precision genetic medicines through base editing.
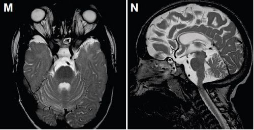
July 24, 2020Molecular cause of disease sparks hopes for severely disabled childrenThe genetic origin of a previously-unrecognized syndrome leading to severe, multiple disabilities in children reveals a potential opportunity for treatment.
July 22, 2020Virtual reality orbitometry bridges digital and physical worldsA study validates the ability of virtual reality (VR) to provide similar quantitative data in ophthalmology and beyond as physical measurements, alongside the added benefit of VR interfaces.
June 23, 2020Körber European Science Prize awarded to Botond RoskaCongratulations to our co-director and Head of our Molecular Research Center! He is to receive one of the world's most highly endowed research prizes.
June 18, 2020Neandertal DNA found in human organoidsAn exciting new approach to understanding human disease across multiple organ systems is now published in Stem Cell Reports.
June 04, 2020Gene therapy sensitises retinas to near-infrared light A new strategy for reversing vision loss from macular degeneration, inspired by infrared vision in snakes, and based on gene therapy and nanotechnology, is published in Science.
May 28, 2020New ways to prove efficacy of emerging treatments for macular diseasesA study now published in JAMA Ophthalmology with the participation of the University of Basel and IOB shows that microperimetry testing can be used to determine whether novel treatments are efficacious in slowing down vision loss.
May 20, 2020Patient-friendly retinal vessel measuring shows cardiovascular risk Digital retinal vessel diameter and wall analysis may improve accuracy of cardiovascular risk stratification, a study in TVST shows.
May 19, 2020Ophthalmic Genetics group wins SNSF special COVID-19 grantThe project has been awarded the maximum funding for individual projects. The race for selection was very competitive: 13% of all projects submitted have been funded; in biomedicine only 22 out of 169.
May 19, 2020Venia docendi for Peter Maloca The University of Basel awarded our group leader Ophthalmic Imaging the title of a 'Privatdozent'. Congratulations!